Background
- Female, 35 years old.
- Autologous bone graft was harvested with the Powerbone Bone Scraper to ensure that the patient had enough bone tissue for the implant. Then Powerbone Cortical Plate was used and the patient's lower palate was closed
- Case performed by Dt. Serkan Dündar
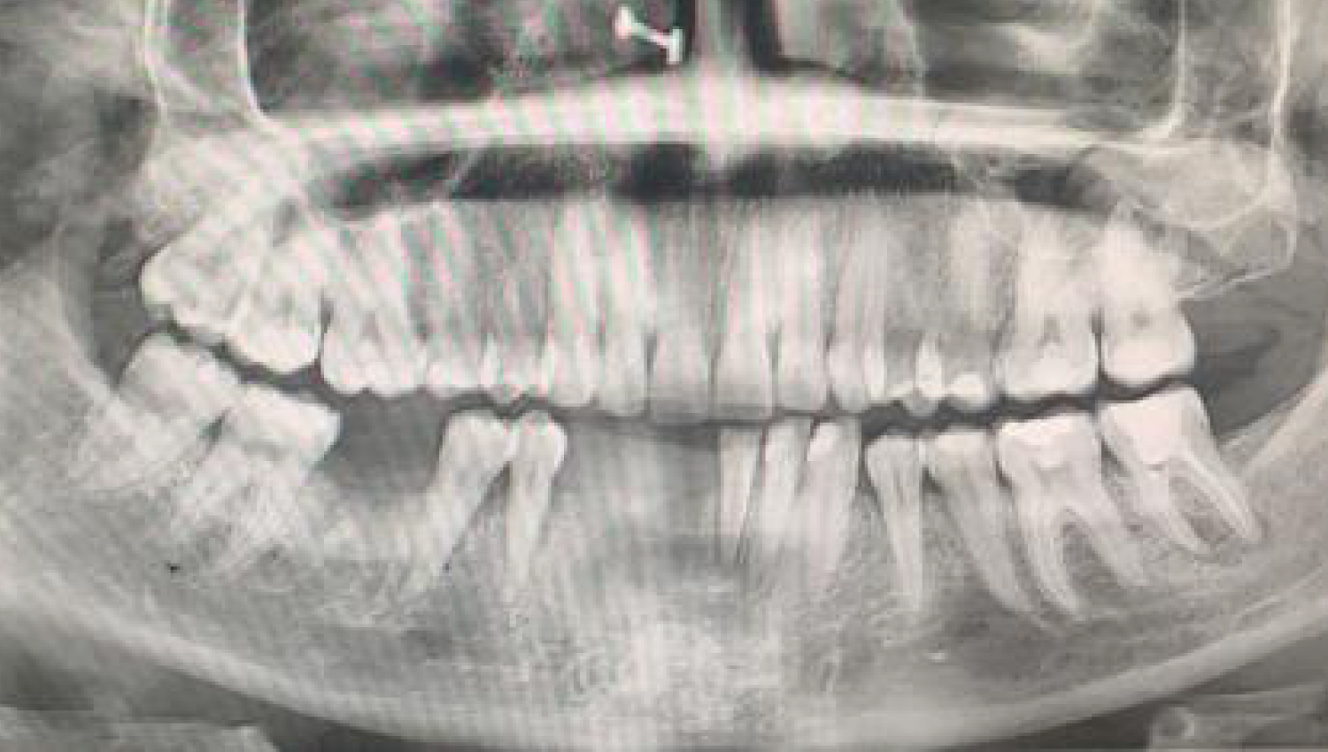
1.Initial radiological view.
2.Initial clinical view.
3. The patient's lower palate is opened. Autologous bone graft is taken from the patient's jawbone with Powerbone Bone Scraper and sinus elevation is performed.
4.Powerbone Cortical Plate was placed at a certain interval by punching the plate and local bone; fixation was accomplished with osteosynthesis screws to form a fixed chamber. Sharp ends removed to avoid soft tissue perforation.
5.The operation area was closed after the procedures.




