Background
- Feale patient
- 13 years old
- Impacted 33
- Case performed by Dr. Minas Leventis, DDS, MSc, PhD, UK
1.Horizontally impacted 43. Due to its unfavourable position, the tooth cannot be moved orthodontically.
2.Surgical extraction of the impacted 43.
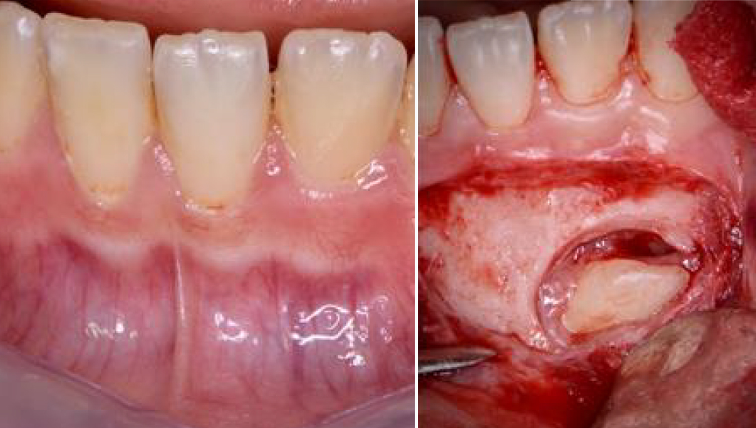
3.The bone defect was thoroughly debrided of all soft tssues and curretted with sharp Lucas hand currettes. Powerbone Dental Putty was used to graft the site, in order to assist and accelerate bone healing prior to initiating othodontic treatment.
4.4. The Bone defect filled with Powerbone Dental Putty. No barrier membranes were used (left picture). The sectioned impacted tooth after removal (right picture).
5.Two months post-op, clinical view showing excellent healing of the area. The patient is now ready to start the orthodontic treatment on the lower arch.




