Background
- Male, 67 years old.
- Osstel measurements were taken and implantation was performed.
- Case performed by Dt. Alparslan Burak
1.Initial radiological view.
2.Osstel measurements were taken from our patient.
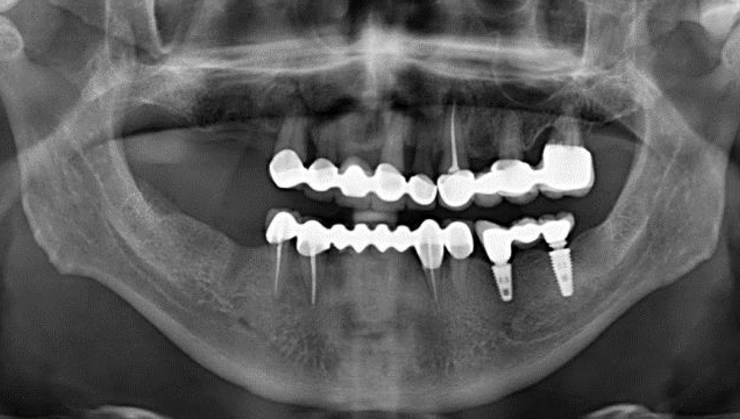
3After Osstel measurements, implantation was performed with Powerbone Dental Implant. Radiological imaging after implantation is shown below.


