Background
- Male, 30 years old.
- Surgery was Complex Three Dimensional
- Augmentation with Khoury's Technique.
- Case performed by Dr. K Pavan Kumar
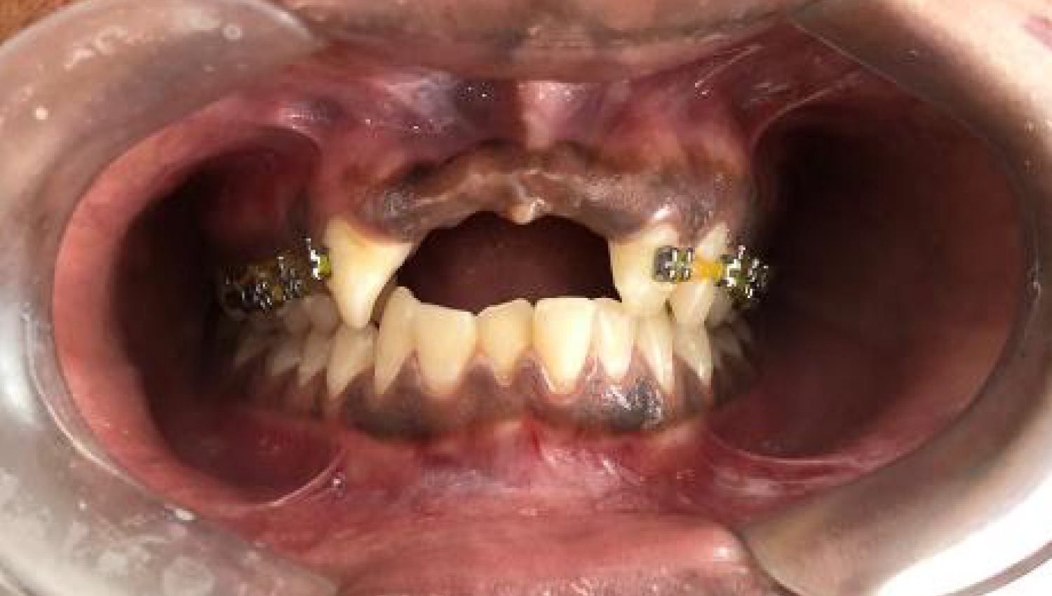
1.Initial clinical view.
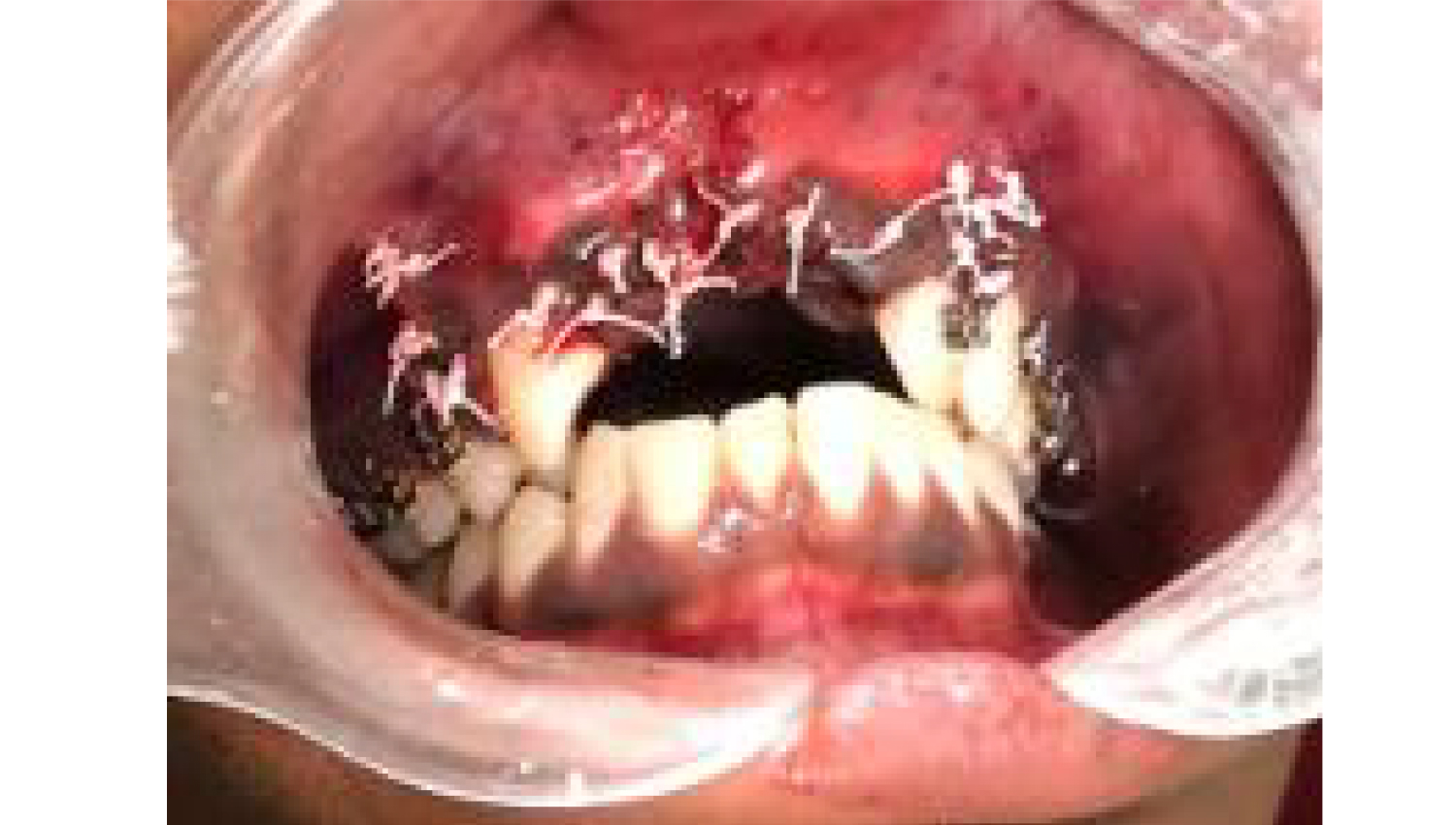
2.Complex Three Dimensional Augmentation procedure was applied to the patient with Khoury's Technique. Powerbone Gel and Cortical plate products were used during the process.
3.Final clinical view.


