Background
- Male, 25 years old.
- Non-smoker.
- Non-contributory medical history.
- Surgical extraction and immediate grafting of the large 4-wall bone defect with Powerbone Dental Putty.
- Case performed by Dr. Minas Leventis, DDs, MSc, Phd, TR
1. Initial radiological view.

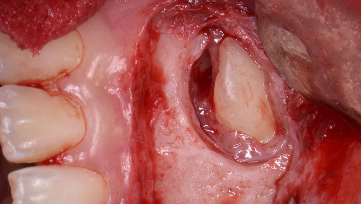
2. Removal of impacted tooth.

3. Usage of Powerbone Dental Putty for immediate grafting of the large 4-wall bone defect.

4. This is the histology the extracted cyst.
