Background
- Female, 33 years old.
- Sinus augmentation surgery was
- decided because it did not have enough
- healthy natural bone to support dental
- implants.
- Case performed by Dr. Hosseini Khah
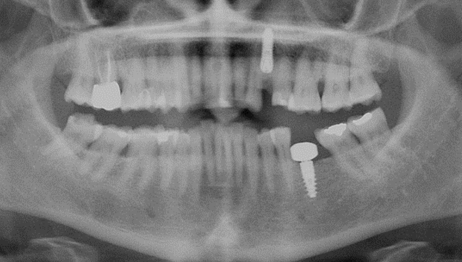
1.Initial radiological view.
.jpg)
2.The implantation procedure is performed..jpg)
3.Powerbone granule is applied to increase bone regeneration around the implantation.
.jpg)
4.After a month from the operation and bone placed..jpg)
5.Final radiological view.
.jpg)
.jpg)
.jpg)
.jpg)
.jpg)